Τη δεκαετία του 1950, μια έγκυος γυναίκα από το Μαρόκο μεταφέρθηκε στο νοσοκομείο αφού ήταν σε κατάσταση τοκετού για περισσότερες από 24 ώρες, αλλά έφυγε τρέχοντας όταν είδε μια άλλη γυναίκα να πεθαίνει κατά τη διάρκεια του τοκετού, καθώς φοβόταν ότι θα υποφέρει κι εκείνη με τον ίδιο τρόπο. Σχεδόν 50 χρόνια αργότερα, γέννησε ένα “πέτρινο μωρό”.
Η Zahra Aboutalib, η οποία ήταν 26 ετών το 1955, ήταν έγκυος στο πρώτο της παιδί, αλλά δεν κατάφερε να γεννήσει μετά από 48 ώρες τοκετού. Όταν πήγε στο νοσοκομείο, της είπαν ότι θα έπρεπε να κάνει καισαρική τομή. Αλλά, όταν είδε μια άλλη γυναίκα να πεθαίνει κατά τη διάρκεια του τοκετού, φοβήθηκε και εγκατέλειψε το νοσοκομείο.
©YouTube Screenshot | Documentary World
Σύμφωνα με το Extraordinary People, αφ’ ότου η Aboutalib εγκατέλειψε το νοσοκομείο, συνέχισε να αισθάνεται έντονους πόνους για μέρες. Αλλά ποτέ δεν γέννησε.
©Leonardo de Vinci – Anatomical drawings
Η Aboutalib βασίστηκε σε μια Μαροκινή πεποίθηση που λέει ότι ένα παιδί μπορεί να κοιμηθεί μέσα στη μήτρα και να προστατεύσει την τιμή της μητέρας του. Έτσι, σταμάτησε να σκέφτεται την εγκυμοσύνη της και στη συνέχεια, υιοθέτησε τρία παιδιά.
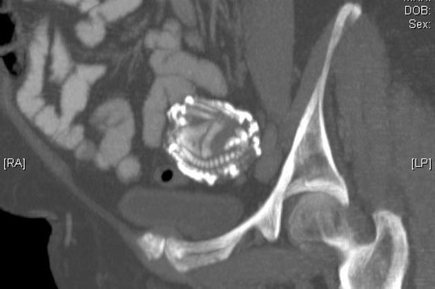
Μετά από 46 χρόνια, όταν η Aboutalib ήταν 75 ετών, ο πόνος επέστρεψε και επισκέφθηκε έναν ειδικό γιατρό για εξετάσεις. Ο ειδικός, ο καθηγητής Taibi Ouazzani, θεώρησε ότι η Aboutalib είχε καρκίνο των ωοθηκών λόγω της προεξέχουσας κοιλιάς και την έστειλε για υπερηχογράφημα.
Μετά από μια μαγνητική τομογραφία, αποκαλύφθηκε ότι δεν ήταν όγκος, αλλά το μωρό της, το οποίο κουβαλούσε μέσα της από το 1955.
Αποδεικνύεται ότι το έμβρυο είχε σκάσει στην κοιλιά και μετατράπηκε σε ξένο σώμα για το ανοσοποιητικό σύστημα της μητέρας ενώ γύρω από αυτό σχηματίστηκε ένα ασβεστώδες κέλυφος.
Η Aboutalib υποβλήθηκε σε ένα 4ωρο χειρουργείο για να αφαιρέσει το “πέτρινο μωρό.”
Υπάρχει και βίντεο στο youtube με ντοκιμαντέρ από το περιστατικό εδώ

©
