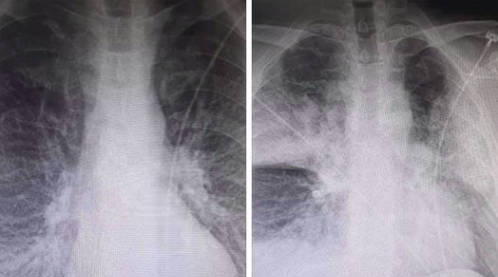
Οι δύο ακτινογραφίες, που ανήρτησε στο Facebook ακτινολόγος από το ΚΑΤ, προκαλούν σοκ, καθώς σε αυτές αποτυπώνεται η ραγδαία επιδείνωση που προκαλεί ο κορωνοϊός στους ασθενείς.
Ειδικότερα, ο κ. Μάνος Καρράς σημειώνει ότι οι δύο ακτινογραφίες ενός 38χρονου, ο οποίος είναι καπνιστης και διαβητικός, έχουν καταγραφεί με 7,5 ώρες διαφορά.
Η πρώτη είναι από την εισαγωγή ασθενή στις 12 το μεσημέρι με 98% κορεσμό οξυγόνου και η δεύτερη, η επαναληπτική, πραγματοποιήθηκε στις 19:30 με τον ασθενή να είναι πλέον με μάσκα οξυγόνου.
https://www.facebook.com/emmanuel.karras/posts/10157681698420415
Σύμφωνα με τον κ. Καρρά τα «σύννεφα» στη δεύτερη ακτινογραφιά συνήθως σημαίνουν υγρό οίδημα φλεγμονή και «είναι κομμάτι του πνεύμονα που “δεν αναπνέει”».
«Δεν υπάρχει ιός» καταλήγει στην ανάρτησή του ο κ. Καρράς απαντώντας σε όλους όσοι εξακολουθούν να εκφράζουν τέτοιες απόψεις για την πανδημία του κορωνοϊού.


