Ο μόνιμος πονοκέφαλος είναι ένα κοινό, αλλά σοβαρό πρόβλημα υγείας και χρήζει ιατρικής αντιμετώπισης, καθώς αλλοιώνει την ποιότητα ζωής και την καθημερινότητα του ασθενή.
Μόνιμος πονοκέφαλος: Οι πάσχοντες επισκέπτονται γιατρό μετά την τριετία
Είναι χαρακτηριστικό, ότι ο ένας στους δύο πάσχοντες από ημικρανία περιμένει περισσότερα από τρία χρόνια μέχρι να απευθυνθεί στον γιατρό, παρ’ όλο που οι κρίσεις επηρεάζουν την προσωπική και κοινωνική ζωή του.
Μόνιμος πονοκέφαλος: Έχει αντίκτυπο στα αγγεία και τα νεύρα του εγκεφάλου
Ο πονοκέφαλος έχει αντίκτυπο στα αγγεία και τα νεύρα του εγκεφάλου. Οποιαδήποτε βλάβη στις περιοχές που περιβάλλουν και στηρίζουν το κεφάλι μας, δηλαδή πρόσωπο, αυχένας, σπονδυλική στήλη μπορούν να τον προκαλέσουν.
Μόνιμος πονοκέφαλος: Από ποιες ασθένειες προκαλείται
Υπέρταση

Ένα από τα κύρια χαρακτηριστικά της υπέρτασης είναι ο πονοκέφαλος. Σε περίπτωση που η πίεση ανεβαίνει πάνω από τα 13mmHg, εκδηλώνονται ενοχλήσεις στο κεφάλι, σαν συσπάσεις. Αυτό θα πρέπει να αντιμετωπιστεί άμεσα.
Ιγμορίτιδα, αλλεργική ρινίτιδα

Το εσωτερικό πρήξιμο που υπάρχει φράσσει την αναπνοή από τη μύτη και πριν εκδηλωθούν τα συμπτώματα της ιγμορίτιδας, εμφανίζεται ο πονοκέφαλος. Οι χαρακτηριστικές «πράσινες» βλέννες που βγάζουμε από τη μύτη είναι ενδείξεις που σχετίζονται με παραρινοκολπίτιδες, όπως η ιγμορίτιδα και η αλλεργική ρινίτιδα.
Τρίξιμο δοντιών (βρουξισμός)

Πολλοί άνθρωποι τρίζουν τα δόντια τους, κυρίως κατά τη διάρκεια της νύχτας και το πρωί ξυπνούν με πονοκέφαλο. Οι ίδιοι δεν το καταλαβαίνουν επειδή κοιμούνται, το πιο συχνό σύμπτωμα της επόμενης μέρας όμως είναι ο πονοκέφαλος και οι πόνοι των μυών του στόματος και των κροτάφων.
Δόντια

Ένα ευαίσθητο δόντι μπορεί να προκαλέσει αφόρητους πονοκεφάλους. Αυτό γίνεται αντιληπτό αν πιείτε κάτι πολύ κρύο ή ζεστό ή δαγκώσετε κάτι σκληρό.
Αυτιά

Οι ωτίτιδες προκαλούν ισχυρούς πονοκεφάλους. Τα σημάδια είναι σε πρώτη φάση φαγούρα και κατόπιν πόνος στο εσωτερικό του αυτιού.
Μάτια

Η κούραση των ματιών, ειδικά μετά από πολύωρη μελέτη ή εστίαση σε οθόνη τηλεόρασης ή υπολογιστή, είναι σημάδι ότι έρχεται ο πονοκέφαλος.
Υπογλυκαιμία

Εάν νιώθετε ότι μαζί με τον πονοκέφαλο έχετε και μια ακατανίκητη επιθυμία για γλυκό, πιθανώς έχετε πάθει υπογλυκαιμία.
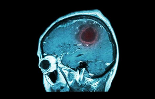
Όγκος στον εγκέφαλο

Ο πονοκέφαλος στην αρχή είναι ελαφρύς και «πηγαινοέρχεται». Με την πάροδο των ημερών δυναμώνει σταθερά και είναι χειρότερος τις πρωινές ώρες. Ταυτόχρονα υπάρχει ζάλη, έλλειψη συγκέντρωσης και αλλαγές στη συμπεριφορά. Επιβάλλεται η επίσκεψη σε ειδικό.


