Οι κτηνοτρόφοι έχουν συνηθίσει να αντιμετωπίζουν άρρωστα ζώα και σπάνια αντιμετωπίζουν μία κατάσταση που τους σοκάρει. Μία ομάδα κτηνιάτρων από το Ισραήλ όμως έπαθε το σοκ της ζωής της όταν τους έφεραν ένα κάπως ασυνήθιστο και επικίνδυνο ζώο για να το φροντίσουν.
Αγχώθηκαν αλλά ήξεραν πως έπρεπε να κάνουν το σωστό… Ενώ έκαναν περιπολία, Ισραηλινοί στρατιώτες είδαν κάτι ασυνήθιστο: δύο άνθρωποι περπατούσαν μαζί με μία ύαινα. Δεν τους πλησίασαν αμέσως γιατί οι ύαινες είναι άγρια ζώα. Αλλά κατάλαβαν πως κάτι δεν πήγαινε καλά και αποφάσισαν να επέμβουν.
Καθώς πλησίασαν, είδαν πως το ζώο που κινδυνεύει με εξαφάνιση ήταν αλυσοδεμένο σε πολύ άσχημες συνθήκες και φαινόταν να υποφέρει.
Η κακοποίηση δεν σταματούσε εκεί. Μετά από εξέταση είδαν πως ήταν πολύ υποσιτισμένη και αφυδατωμένη. Δεν είχε καθόλου δύναμη να αντιδράσει.

Οι στρατιώτες επικοινώνησαν με τους κτηνιάτρους και εκείνοι κατάφεραν να σταθεροποιήσουν την κατάστασή της αν και είχε πολύ δρόμο ακόμα μπροστά της.
Την νάρκωσαν έτσι ώστε να είναι άνετη και να μειωθούν τα επίπεδα άγχους της. Αυτό θα έκανε πιο εύκολη και την δουλειά τους. Αφού έγινε αυτό, την μετέφεραν σε νοσοκομείο ζώων για να πάρει την φροντίδα που χρειαζόταν.

Οι κτηνίατροι προσπάθησαν να σταθεροποιήσουν την κατάσταση της ύαινας καθώς έκαναν διάφορες εξετάσεις για να καταλάβουν το πλήρες εύρος των τραυμάτων της. Ενώ μπορούσαν εύκολα να αναγνωρίσουν τους εξωτερικούς τραυματισμούς, δεν είχαν ιδέα τι συνέβαινε μέσα στο καημένο πλάσμα.
Σύντομα όμως κατάλαβαν πως κάτι δεν πήγαινε καλά. Είδαν πολλές μελανιές στο σώμα της και υποπτεύθηκαν πως είχαν δημιουργηθεί από ξυλοδαρμό.

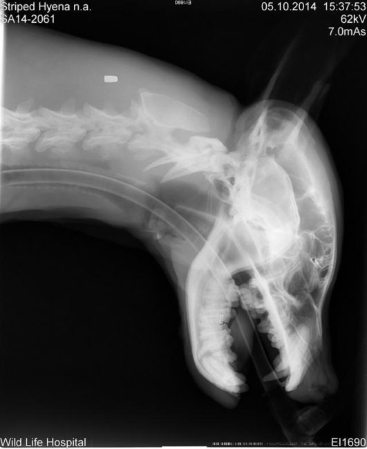
Οι μελανιές όμως δεν ήταν τα μόνα της τραύματα. Είχε πολλά σπασμένα δόντια επίσης. Κάποια ήταν κομμένα μέχρι τη ρίζα και αυτό πρέπει να της προκαλούσε φρικτό πόνο.

Επίσης είχαν μολυνθεί τα μάτια του και δεν μπορούσε να δει καλά.

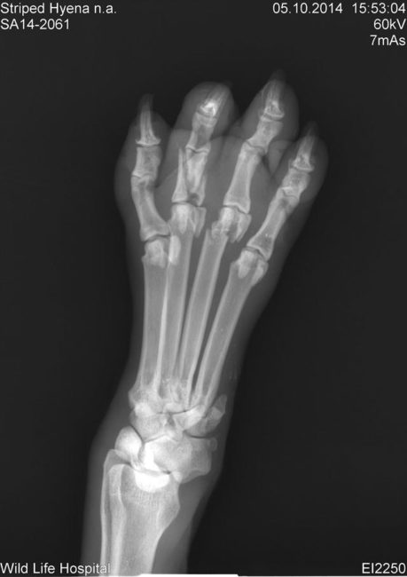
Τελικά, βγήκαν και οι υπόλοιπες εξετάσεις και έδειξαν πως είχε πολλά σπασμένα κόκαλα σε όλο του το σώμα.

Ο χειρότερος τραυματισμός του ήταν πως είχε σπασμένο μπροστινό πόδι και πατούσα. Φάνηκε σαν να είχε πιαστεί σε κάποια παγίδα και αυτό θα μπορούσε να εξηγήσει τον τρόπο που βρέθηκε σε αιχμαλωσία.

Η ύαινα ήταν πολύ αφυδατωμένη και έτσι το προσωπικό του έβαλε αμέσως ορό. Επίσης προσπαθούσαν να τον χαλαρώσουν χαϊδεύοντας τον στο κεφάλι.

Παρά την σοβαρότητα της κατάστασής της, η ύαινα δεν ήθελε να τα παρατήσει. Ήταν πολύ δυνατή και είχε μεγάλη θέληση.

Οι κτηνίατροι τον ονόμασαν Amos και έγινε το αγαπημένο τους ζώο. Μπορεί να μην ήταν πολύ φιλικό αλλά τους κέρδισε με την αξιοπρέπεια και την αντοχή του.

Ευτυχώς, ο Amos επιβίωσε από την επέμβαση στο πόδι του. Όταν ξύπνησε ήταν σε κατάσταση σοκ και δεν έτρωγε για μερικές μέρες.

Η ομάδα ήθελε να σιγουρέψει πως πριν τον αφήσουν να φύγει, οι πληγές του είχαν γιατρευτεί εντελώς.

Μετά από θεραπείες που κράτησαν πάνω από μήνα, ο Amos ήταν έτοιμος να επιστρέψει στην άγρια φύση.

Αφού του έδωσαν ηρεμιστικό και τον εξέτασαν για μια τελευταία φορά, ήταν έτοιμος για να τον αφήσουν να φύγει!

Του έβαλαν μάλιστα και ένα κολάρο με πομπό για να παρακολουθούν τις κινήσεις του και να είναι σε θέση να τον βοηθήσουν εάν του συμβεί κάτι κακό στο μέλλον.

Τώρα ήταν έτοιμος να γυρίσει στο σπίτι του.

Μετά από πολύ δρόμο, είχαν φτάσει επιτέλους στον προορισμό τους. Τον έβγαλαν από το κλουβί του και τον άφησαν στο χώμα. Στην αρχή δεν ήθελε να φύγει!

Ήθελε λίγο χρόνο αλλά τελικά το πήρε απόφαση και χάθηκε μέσα στη νύχτα.

Τότε όμως έγινε κάτι που δεν περίμεναν: ενώ ήταν έτοιμος να φύγει, ξαφνικά σταμάτησε. Είχε γυρίσει και κοιτούσε πίσω αντί να τρέξει να σωθεί!

Τους κοιτούσε σαν να ήθελε να τους ευχαριστήσει. Δεν μπορούμε να ξέρουμε τι σκεφτόταν, αλλά σίγουρα αυτό συγκίνησε όλη την ομάδα.

Μετά, εξαφανίστηκε μέσα στο σκοτάδι. Παρόλο που στεναχωρήθηκαν που τον έβλεπαν να φεύγει, χαιρόντουσαν που ήξεραν πως το κολάρο θα τους δείχνει αν είναι καλά και δραστήριος!

Ευτυχώς οι κτηνίατροι κατάφεραν να τον σώσουν και να τον ελευθερώσουν πολύ γρήγορα. Η ύαινα ποτέ δεν θα τους ξεχάσει!
Credit: honesttopaws.com


